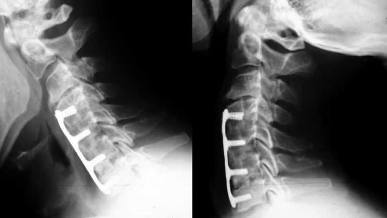
Los paquetes de Turismo Médico del Hospital Puebla ofrece para Disectomía y Artrodesis Cervical, donde se tratan las vértebras dañadas o desgastadas en el cuello. En este procedimiento, un cirujano quita la vértebra dañada, aliviando la presión sobre los nervios pinzados, y llena el espacio vacío de la vértebra con hueso. Se puede realizar de uno o dos niveles.
A continuación te presentamos la estructura de nuestro paquete de turismo médico de Hospital Puebla.
1 Consulta por Videollamada. Consulta presencial. Valoración prequirúrgica. Realización de cirugía. Seguimiento personalizado en Hotel durante 2 semanas posteriores a egreso hospitalario. 3 Noches hospitalización en habitación estándar con 1 acompañante. 3 sesiones de rehabilitación especializada en hospitalización. Traslado para 2 personas APTO - HOTEL - APTO en auto compacto con 1 hora de espera. 2 noches de hospedaje previo y 4 posteriores a hospitalización en Hotel de categoría elegida en habitación sencilla o doble (sin alimentos). 4 días de auto compacto a disposición por 8 horas para traslados locales Puebla - Cholula. Impuestos.
Otros procedimientos no descritos en el paquete. Gastos de complicaciones. Estancia en unidades de terapia intensiva o intermedia. Transfusiones sanguíneas. Días adicionales a los establecidos. Estudios no especificados. Noches extras de alojamiento. Personas extras para traslado o alojamiento. Gastos personales.
Los médicos que aparecen en este listado son especialistas con amplia experiencia y reconocimiento a nivel internacional:
Dr.: Adrian Aguilera Lorenzini
Tenemos paquetes médicos con estancia en hotel de 4 y 5 estrellas, mediante convenio con los siguientes hoteles, los cuales estan preparados para recibir a huéspedes en esta modalidad, ofreciendo servicios adicionales para la recuperación del paciente y confort de los acompañantes:
Obtén todos los detalles de nuestra oferta médica, que incluye, costos quirúrgicos, costos hospitalarios y paquete de hotel y transporte.
Te invitamos a llenar el siguiente formulario y te haremos llegar la información a tu correo electrónico .
Conocer más ...
En caso de que tengas alguna duda sobre el proceso de contratación o cualquier tema de tu interés, Te ofrecemos los siguientes medios de contacto, donde uno de nuestros ejecutivos te atenderá personalmente, elige una de las siguientes opciones:
Nuestro interés es brindarte lo mejor, si quieres atención personal te invitamos a comunicarte por las siguientes opciones:
Hemos recopilado algunas de las preguntas más comunes de los pacientes y las hemos respondido aquí.
Si tienes alguna pregunta que no ha sido respondida, por favor contáctanos a través de nuestra página, contáctanos y estaremos encantados de ayudarte.
Conocer más ...
Somos un hospital donde nuestra razón de ser y prioridad son los pacientes y hacia ellos dirigimos nuestros esfuerzos para asegurarle una atención médica de calidad.
Trabajamos para ser la mejor opción de Puebla y el Sureste del país en Servicios de Alta Especialidad; porque contamos con el mejor equipo Médico, Personal calificado y Tecnología de Vanguardia.
Puebla es un destino mágico que hará que te sientas tranquilo y así disfrutar una experiencia inolvidable, mientras realizamos tu procedimiento médico solicitado.
Podemos orientarte al ofrecerte recomendaciones de alojamientos, traslados, entretenimiento y restaurantes para coordinar tu viaje a Puebla y así recibir el mejor servicio médico.
Te invitamos a conocer Puebla, la cual reúne joyas arquitectónicas de la Colonia, espacios modernos, exquisita gastronomía y parajes históricos.
Estas son algunas de las actividades que no puedes dejar de realizar durante tu próxima visita a Puebla, capital reconocida como Patrimonio de la Humanidad.
Puebla es un estado muy vasto en cuanto a comida típica y tradicional. En su comida se encuentra la herencia de la cocina indígena y europea de la época de la colonia.
Descubre los mejores atractivos turísticos y lugares que visitar en la ciudad de Puebla. Museos, tradición y cultura, paisajes, plazas y parques y visitas guiadas.